
矯正歯科orthodontics

歯並びの治療は、”心と身体を元気にする治療”です。
当院では担当衛生士制で、治療後も定期的な検診やクリーニング・フッ素など、患者様のお口をきれいに機能的に保つにはどうすればいいかを患者様と一緒に考えます。矯正治療中は一時的にお口のケアが難しくなりますが、矯正治療の進行に合わせたお口の衛生管理もしっかりと行います。
歯並びを整え、身体本来の姿を取り戻しましょう!
矯正はそれぞれの歯並び、かみ合わせによって治療内容や器具が異なります。
また、年齢や時期なども違います。
※ 矯正歯科治療は公的医療保険の適用外の自費(自由)診療となります。
1期治療について
1期治療で行うワイヤー矯正
反対咬合や永久歯が裏側から生えてきたときなどの治療に使います。内側からワイヤーの力で歯を押し出します。

拡大装置は、歯並びを整えるために内側からワイヤーの力で歯列を外に広げる矯正装置です。あごが小さく隙間が狭い方の治療に使います。

前歯のでこぼこ、隙間があるなどの治療に使います。 歯の表側に付く装置で、金属の器具と半透明の器具があります。

かみ合わせの改善、矯正終了後の後戻り防止のための取り外し式装置です。
費用・治療期間※価格は税込み表記です。費用は検査後の診断時に確定します。
歯の動き方には個人差がありますが、3~4週間に1回の調整が必要です。 予定通りご来院頂けない場合は予定していた期間よりも長くかかります。
マウスピース型矯正装置透明に近く、目立ちにくいマウスピース型の矯正装置です。 マウスピース型矯正装置(インビザライン・ファースト)は、お子様の歯の生え変わりに適しています。詳しくはリンクよりご覧ください。
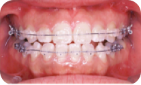
2期治療について
2期治療に使う主な器具
四角い金属(ブラケット)を歯麺に1個ずつ装着します。プラケットにワイヤーをはめてゴムで結束し、弱い力を加えて歯を並べていきます。
※ カラーゴムを使っておしゃれを楽しむことも出来ます。

ブラケットが半透明で目立ちにくいのが特徴です。
機能性はメタルとほとんど変わりません。
費用・治療期間※価格は税込み表記です。費用は検査後の診断時に確定します。
歯の動き方には個人差がありますが、3~4週間に1回の調整が必要です。 予定通りご来院頂けない場合は予定していた期間よりも長くかかります。
マウスピース型矯正装置透明に近く、目立ちにくいマウスピース型の矯正装置です。 人に気づかれにくく、見た目も自然に近い状態で矯正治療を行うことが出来ます。詳しくはリンクよりご覧ください。